第五期 足球相关的一二事
虽然本人运动细胞不是很够,但是对于运动医学十分感兴趣,因此今年开始一直为新西兰大连足球队做队医,为队员们提供场上场下的医疗帮助,接下来分几期来谈谈足球队员最容易损伤的部位和预防方法。
脚踝:
足球,用脚踢的球,因此最容易受伤的就是脚踝了,在队里接诊最多的问题也是脚踝伤。由于足球鞋多为低帮鞋以增加脚踝的灵活性,与此同时也增加了在冲击中受伤的可能性。往往因一个对脚、一个急停、或者比赛场地不平都会引起脚踝的扭伤,从而引起韧带、软骨损伤,甚至出现撕脱骨折等问题。
韧带损伤:
踝关节周围都有坚强的韧带保护,尤其是内踝相对十分稳定。

- 内侧副韧带:又称三角韧带,是踝关节最坚强的韧带。主要功能是防止踝关节外翻,根据纤维走向及止点的不同的又分为舟胫韧带,距胫韧带,跟胫韧带和距胫后韧带。
- 外侧副韧带:起自外踝,分三束分别止于距骨前外侧,距骨外侧或距骨后方,故又称为距腓前韧带,跟腓韧带和距腓后韧带,是踝部最薄弱的韧带。
- 下胫腓韧带:又称胫腓横韧带,有两条分别于胫腓骨下端的前方和后方将将故、腓骨紧紧地连接在一起,加深踝穴的前、后方,稳定踝关节。
若内侧副韧带损伤,将出现踝关节侧方不稳定,若外侧副韧带损伤,将出现踝关节各方向不稳定。外踝韧带损伤是最常见也是相对最容易忽略的问题,很多球员都在年轻的时候出现过踝关节扭伤,大多没有在意,继续持续比赛或训练,造成了韧带修复延缓甚至多次损伤,最终导致韧带松弛,因而出现习惯性扭伤。出现“一踢就伤,一跑就伤”的现象。
软骨损伤
由于比赛中的暴力冲击,造成骨与骨的剧烈撞击,由于骨质一般属于非常坚硬的结构,因此出现压缩骨折的几率不高,但是在骨面上附着的软骨经常会因撞击而出现剥脱、磨损等现象,一般表现为关节弯曲到某个角度,出现在骨面或关节上的酸痛和刺痛。

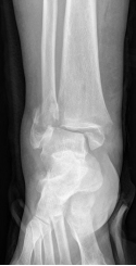
骨折及撕脱骨折
虽然出现相对较少,但是往往和韧带损伤不易区分,最常出现的是腓骨下端骨折和第五跖骨基底骨折。损伤后如果出现剧烈疼痛、肿胀、充血、无法负重等情况,最好要及时就诊,排除骨折的可能。

治疗方案
对于撕脱骨折、韧带断裂等损伤,大多需要拍片明确损伤大小,多数需要手术治疗。而对于软骨损伤、韧带非全层损伤、肌腱损伤、肌肉拉伤等,通过针灸、理疗、正骨等保守治疗,都会取得良好的疗效。
预防方案
- 热身运动:比赛前尽量活动脚踝的伸、屈、内收、外展的四个方向运动增加韧带的柔韧性,并适当做下小腿拉伸,增加跟腱部位的血液循环。
- 踝关节保护:如果出现过踝关节损伤,强烈建议比赛时采用护踝、绷带或胶布保护。通过护具可以减少冲击中的韧带负荷。
- 伤后应急处理:如果出现损伤,边上没有医护人员的话,可以直接采用冰敷+抬高患肢的方法应急处理,同时也可以采用喷涂红瓶云南白药或者其他Icy Spray降低伤处温度,减少进一步出血的发生几率。
往期回顾:
